Restore, reshape, and perfect your smile - often in a single visit.
Composite Bonding in Glasgow
This is the first step to a more confident smile. We’ll confirm suitability, discuss your goals, and create a tailored plan during your consultation.
Why choose Dentistry @ Jordanhill for composite bonding?
- Experienced clinicians – skilled in cosmetic techniques
- Tailored approach – we design the smile you want
- Comfort first – gentle, minimally invasive procedure
- Trusted locally – caring team in the heart of Jordanhill
What can composite bonding fix?
Composite bonding is a versatile cosmetic treatment that can correct a wide range of common smile concerns, including:
- Chipped or cracked teeth
- Small gaps between teeth
- Worn or uneven edges
- Discoloured spots or patches
- Slightly misshapen teeth
How does composite bonding work?
Composite bonding is simple, comfortable and usually completed in a single visit. Here’s what to expect:
- Consultation – we discuss your smile goals and assess your teeth.
- Preparation – little to no drilling; the tooth surface is gently roughened to help the bonding material adhere.
- Application – tooth-coloured resin is carefully sculpted directly onto your teeth.
- Finishing – the resin is hardened with a curing light and polished for a natural look.
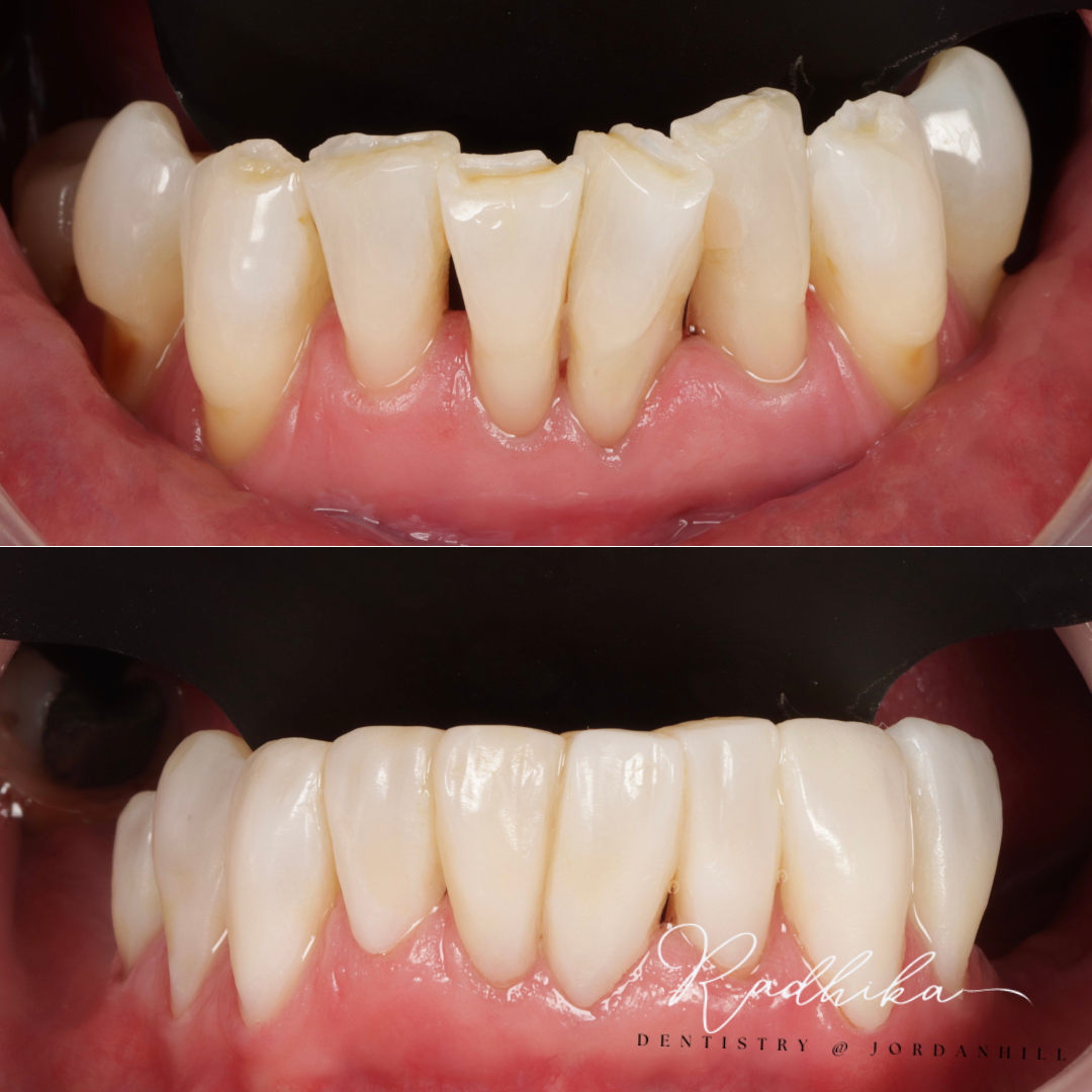
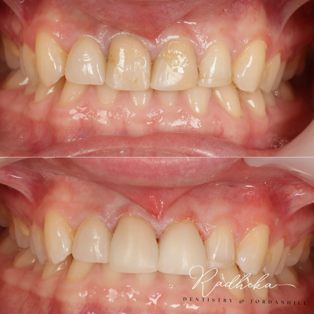
Before & After: Real Composite Bonding Results at Dentistry @ Jordanhill
These results are from our own Composite Bonding patients in Jordanhill. Individual outcomes vary; every smile is unique.




























What our patients say about Composite Bonding
Hear directly from some of our patients about their Composite Bonding treatment with us.
"I am extremely pleased with the results"
One of our patients shares their experience with composite bonding treatment at Dentistry @ Jordanhill.
"Really delighted with the way I was treated"
Another patient explains how composite bonding boosted their confidence and improved their smile.
Composite Bonding FAQs
Here are answers to some of the most common questions patients ask us about Composite Bonding.
Many smile improvements can be achieved in just one visit. Book your consultation below and find out what’s possible for your smile.
Start with a consultation or call 0141 334 2550 today.